[Si has llegado a este post sin haber leído el caso clínico,
te recomiendo que antes de seguir le eches un vistazo aquí]
te recomiendo que antes de seguir le eches un vistazo aquí]
Evolución del caso clínico:
Urgencias:
Paciente
valorada inicialmente en urgencias a la 1h de la madrugada por el cuadro
descrito de dolor e impotencia funcional en pierna y cadera izquierda
acompañado de cuadro diarreico de 7 días, todo ello en contexto de una caída en
domicilio una semana antes
valorada inicialmente en urgencias a la 1h de la madrugada por el cuadro
descrito de dolor e impotencia funcional en pierna y cadera izquierda
acompañado de cuadro diarreico de 7 días, todo ello en contexto de una caída en
domicilio una semana antes
Se
inicia analgesia con opiáceos por intenso dolor, se realizan hemocultivos,
sedimento de orina (0 leucos, 0 hematíes, flora bacteriana moderada y
proteinuria 100mg/dl) y gasometría venosa de control a las 7h (pH 7.39, HCO3
20,4) Se instaura antibioterapia empírica con metronidazol
inicia analgesia con opiáceos por intenso dolor, se realizan hemocultivos,
sedimento de orina (0 leucos, 0 hematíes, flora bacteriana moderada y
proteinuria 100mg/dl) y gasometría venosa de control a las 7h (pH 7.39, HCO3
20,4) Se instaura antibioterapia empírica con metronidazol
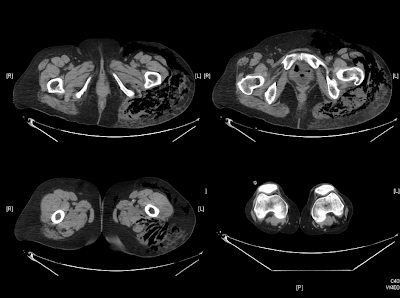
Entre
las 7h y las 10h, la paciente presenta progresivo empeoramiento clínico con
inestabilidad hemodinámica, hematuria, ictericia y crepitantes a palpación en
muslo izquierdo y Fosa iliaca izquierda. Se realiza nuevo control gasométrico arterial
aire ambiente (pH 7.39, pCO2 17.40, pO2 75.1, CO3H 10.4, Exceso base art -11.5,
láctico 14mmol, SatO2 95.4%), TC toraco-abd-pélvico urgente y se solicita
valoración por UCI decidiéndose traslado a dicha unidad.
las 7h y las 10h, la paciente presenta progresivo empeoramiento clínico con
inestabilidad hemodinámica, hematuria, ictericia y crepitantes a palpación en
muslo izquierdo y Fosa iliaca izquierda. Se realiza nuevo control gasométrico arterial
aire ambiente (pH 7.39, pCO2 17.40, pO2 75.1, CO3H 10.4, Exceso base art -11.5,
láctico 14mmol, SatO2 95.4%), TC toraco-abd-pélvico urgente y se solicita
valoración por UCI decidiéndose traslado a dicha unidad.
Unidad de Cuidados
Intensivos:
Intensivos:
14h: Se
refleja en la historia clínica la siguiente exploración física:
refleja en la historia clínica la siguiente exploración física:
- CONSTANTES: Taquicardia, TA 110/70 (caída
progresiva, ya en manejo con vasopresores), taquipneica, afebril - GENERAL: mal aspecto, sequedad mucocutánea,
ictericia cutánea. - NRL: No focalidades agudas. Orientada
- ABD: RHA +, SNG muy productiva al inicio de
contenido alimenticio. No dolor. Empastamiento con ligera crepitación en FII - EEII: Hematoma y eritema desde zona glútea
hasta mitad post del muslo izquierdo, con enfisema subcutáneo, crepitación y
tensión partes blandas. Pulsos distales presentes. No edemas
Se
procede a estabilización hemodinámica, se ajusta antibioterapia empírica a
Clindamicina y Meropenem y se solicita desbridamiento quirúrgico urgente
procede a estabilización hemodinámica, se ajusta antibioterapia empírica a
Clindamicina y Meropenem y se solicita desbridamiento quirúrgico urgente
20:30h
La
paciente sale de quirófano en situación de inestabilidad, hipotensa,
oligoanúrica, con signos de hipoperfusión severa.
paciente sale de quirófano en situación de inestabilidad, hipotensa,
oligoanúrica, con signos de hipoperfusión severa.
A
pesar de transfusión de hemoderivados y soporte
con noradrenalina y dobutamina, la paciente entra en una situación de fallo
multiorgánico refractario al tratamiento resultando exitus a las 3:15h (27h tras su llegada a urgencias)
pesar de transfusión de hemoderivados y soporte
con noradrenalina y dobutamina, la paciente entra en una situación de fallo
multiorgánico refractario al tratamiento resultando exitus a las 3:15h (27h tras su llegada a urgencias)
Diagnósticos:
- Fascitis/
Miositis nerotizante. Gangrena gaseosa - Se
confirma el diagnóstico mediante las muestras intraoperatoria remitidas a
Anatomía patológica. - Los
cultivos intraoperatorios resultan positivos para Clostridium sp
Comentarios:
[Se
trata de una caso con evolución tórpida y resultado trágico que ejemplifica muy
bien la gravedad y la evolución, generalmente fatal, de una infección severa
por Clostridium que evoluciona a Mionecrosis y gangrena gaseosa]
trata de una caso con evolución tórpida y resultado trágico que ejemplifica muy
bien la gravedad y la evolución, generalmente fatal, de una infección severa
por Clostridium que evoluciona a Mionecrosis y gangrena gaseosa]
En
las siguientes diapositivas se muestran las principales características de
dichas infecciones, tanto a nivel diagnóstico como pronóstico y microbiológico.
(En caso de no poder ver bien las diapositivas, se puede descargar la versión
PDF de las mismas aquí)
las siguientes diapositivas se muestran las principales características de
dichas infecciones, tanto a nivel diagnóstico como pronóstico y microbiológico.
(En caso de no poder ver bien las diapositivas, se puede descargar la versión
PDF de las mismas aquí)
Conclusiones:
- Ante
la sospecha clínica, siendo el cuadro típico dolor muy intenso, fiebre y
presencia de gas en tejido blando visto en pruebas de imagen (Rx, TC o RMN), es
necesario actuar de manera precoz mediante desbridamiento
quirúrgico urgente y administración de antibioterapia. - La
antibioterapia empírica en estos cuadros deberá incluir tratamiento
principalmente para Clostridium y Strep.
Grupo A (siendo el Strep. pyogenes el
más frecuente) , teniendo en cuenta la posibilidad alternativa de una infección
sinérgica por aerobios/anaerobios. - El
tratamiento inicial empírico recomendado es Penicilina G 3-4 millones de
unidades ev cada 3-4h + Clindamicina 600-900 mg ev cada 8h. (La función
principal de la Clindamicina en este caso sería bloquear la producción de
toxinas). En caso de sospecharse de etiología sinérgica - Terapias
coadyuvantes de eficacia todavía en estudio podrían ser la utilización de oxígeno
hiperbárico (en infección por Clostridium)
o la administración de inmunoglobulinas ev en caso de infección por Strep pyogenes.
Algunos
artículos y documentos que os podrían interesar para completar el tema:
artículos y documentos que os podrían interesar para completar el tema:
- Documentos
SEIMC: Infecciones por Clostridium perfrigens
(gratis) - Revisión de toxinas de Clostridium perfrigens (gratis)
- Patogénesis de la
mionecrosis por Clostridium (artículo de pago)
Finalmente,
gracias a la Dra. Adelaida Rey por proporcionarnos este caso clínico,
nos vemos el sábado en una nueva entrega de casos.
gracias a la Dra. Adelaida Rey por proporcionarnos este caso clínico,
nos vemos el sábado en una nueva entrega de casos.
+11.47.01.png)
+11.47.17.png)
+11.47.30.png)
+11.47.42.png)
0 comentarios