Hoy os traemos un caso clínico enviado por Carla López Causapé, Residente de Microbiología del Hospital Son Espases. Al igual que la semana anterior, el caso permanecerá cerrado hasta el miércoles, día en el que colgaremos el diagnóstico y una revisión del mismo.
de 49 años que acude a Urgencias con motivo de la aparición de disnea
progresiva y fiebre de 39ºC de una semana de evolución. Refiere además tos seca
(inicialmente con escasa expectoración), cefalea holocraneal, congestión nasal, náuseas y vómitos de
contenido alimenticio. Niega otra sintomatología
personales
diarios, hábito enólico moderado y ex-ADVP.
- Ingresado
en Octubre de 2012 por Neumonía - Fiebre
Q en 2007 - VIH
+ (Ha abandonado el tratamiento 4-6 meses antes) - Hepatopatía
crónica por VHC - Tuberculosis
en 1997 (pulmonar?)
- Sertralina 2-0-0.
- Gabapentina 800 mg 1-1-1.
- Tramadol 50 mg 1-1-1.
- Clonazepam 50 mg 1-1-1.
- Pregabalina 75 mg 2 comprimidos 1-1-1.
- Mirtazapina 0-0-1.
- Levomepromazina 25 mg 1-1-1.
(Hasta hace unos
meses en tratamiento antiretroviral con Lopinavir + Emtricitabina/Tenofovir)
física en Urgencias:
- Constantes: Tª
37,5; TA 137/91, Fc 93x’; Sat O2 (AA): 93%. Estado general regular. - ORL: Orofaringe normal. Ambos tímpanos normales.
- Cardiocirculatorio: Auscultación rítmica, sin soplos.
- Respiratorio: Murmullo conservado, eupneico, sin estertores
- Abdomen: Blando y depresible. Distendido, no doloroso a la palpación con
semiología de ascitis. No masas o vísceromegalias. Ruidos normales. - Neurológico: No
se describen focalidades neurológicas
Pruebas complementarias iniciales:
- Gasometría arterial (aire ambiente): PH 7,489, pCO2: 31,4; pO2: 56,4; HCO3: 23,3
- Analítica: Leucos 3,27 (PMN 46,8%; Linfos 1,210) Hb 16,6; Plaq 94,4; Glu 95,
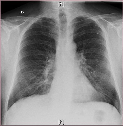
Urea 20, Cr 0,83, Na 136, K 4,1. - Estas son las
radiografías del paciente:
¿Que orientación diagnóstica te parecería más adecuada?
a) Traqueobronqutitis aguda con insuficiencia respiratoria en paciente con Infección VIH
b) Probable neumonía por P. jiovecii
c) Bronconeumonía en paciente VIH
¿ Que exploraciones complementarias propondrías?
a) Hemocultivos, cultivo de esputo, Ag neumococo
b) Hemocultivos, cultivo de esputo, Ag de neumococo, frotis faringeo para virus, tinción de ZN y cultivo de micobacterias.
c) Hemocultivos, Ag neumococo, frotis faringeo, broncoscopia para Gram cultivo y estudio de P. jirovecii, virus, micobacterias del BAS y BAL.
iniciarías en urgencias?
Levofloxacino
y broncodilatadores.
Amoxicilina
clavulánico/azitromicina y broncodilatadores
Levofloxacino,
timetropim/sulfametoxazol, broncodilatadores y corticoides EV.
Ceftriaxona, levofloxacino y broncodilatadores.



0 comentarios